近日,哈医大一院核医学分子影像诊疗中心付鹏教授团队应用多探针联合成像诊断早发阿尔兹海默症,协助临床探寻认知障碍真实病因,为后续治疗提供有效影像诊疗依据。

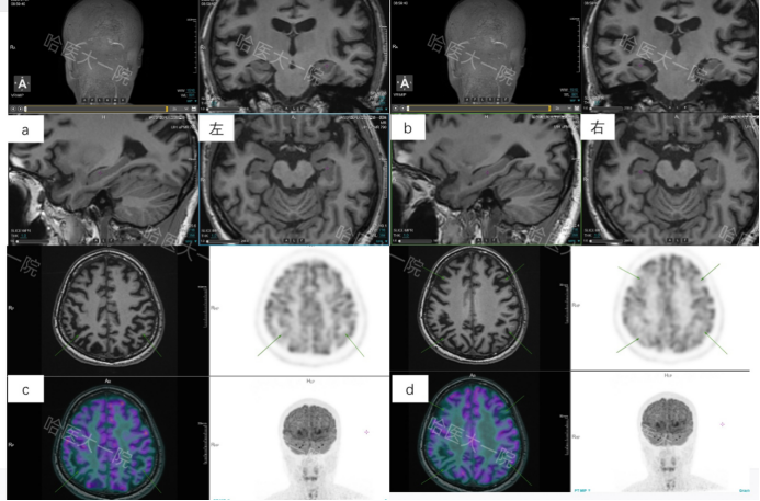
李女士今年50岁,近几年总是情绪低落、睡眠质量差,临床诊断可能患抑郁症,口服抗抑郁药物效果欠佳,近半年出现记忆力减退、反应迟钝等症状,转至哈医大一院神精内科就诊,相关精神量表评分为MMSE评分21分,MOCA评分12分。哈医大一院神经内科二病房刚宝芝教授建议患者进一步进行核医学科PET/MR多探针多模态成像明确认知障碍病因,即淀粉蛋白18F-AV45、Tau蛋白18F-AV1451显像及葡萄糖类似物18F-FDG联合成像。

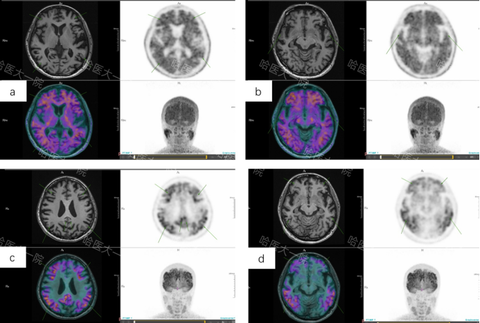
经过核医学科医师图像判读sMRI显示脑萎缩,双侧内嗅皮层、海马及杏仁体萎缩,同机18F-FDG显像双侧颞顶联合区、后扣带回及额叶伴葡糖糖代谢对称性减低,sMRI及18F-FDG显像不符合额颞痴呆典型影像表现;为近一步确诊行18F-AV45及18F-AV1451显像,二者显像均为阳性,综合患者sMRI及多探针联合成像结果为患者明确病因诊断,即认知及情绪障碍致病来源为早发阿尔兹海默症,并协助临床进一步制定治疗用药方案,同时18F-AV1451为患者日后治疗效果评估提供了影像基线。

据介绍,阿尔兹海默症患者年龄一般大于65岁,反之则为早发阿尔兹海默症,早发阿尔兹海默症患者的进程一般较快,早诊断早治疗对患者的生存质量至关重要。哈医大一院核医学科分子影像诊疗中心集核素诊断、核素治疗及新药研发三位一体,占地5000多平方米,中心配备一体化PET/MR“一站式”检查,可以同机、同时、同中心采集所需数据,同时获得PET、sMRI、fMRI影像数据,因此成为了脑神经变性类疾病诊断的有力依据。(教玉颖)
【纠错】 【责任编辑:才萌 董云竹】

